The Telegraph has a well-intentioned but confused article about how child neglect affects the brain and what can be done about it.

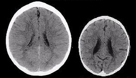
What’s the difference between these two brains? asks The Telegraph. “The primary cause of the extraordinary difference between the brains of these two three-year-old children,” says the journalist, “is the way they were treated by their mothers.”
According to the paper “The child with the much more fully developed brain was cherished by its mother, who was constantly and fully responsive to her baby. The child with the shrivelled brain was neglected and abused.”
Firstly, it’s worth saying that reduced brain size is clearly related to neglect and abuse but the images are not a typical representation of this.
These scans were originally published in an article on child abuse by neuroscientist Bruce Perry who drew them from an unpublished abstract [pdf] of a study on neglect in children, which didn’t control for malnutrition or drug exposure during pregnancy.
They’re described as showing CT scans of three-year-olds, one normal and the other neglected who has a head size smaller 97% of children his or her age. This would make him or her almost diagnosable with microcephaly, a neurological disorder of small head size usually caused by a genetic defect.
This difference in brain size has actually been found in those without the genetic defect. In fact, this difference was found in a study of severely neglected Romanian orphans but severe malnutrition was also a significant factor.
In other words, unless you include ‘starvation’ under the concept or ‘poor interaction with the mother’ the scans really don’t represent what typically happens to children who are emotionally neglected.
Oddly, the Telegraph article spins brain development as specifically depending on the mother, giving an undercurrent of traditional mother-blaming.
Neurologists are beginning to understand exactly how a baby’s interaction with their mother determines how, and indeed whether, the brain grows in the way that it should.
The ghost of the refrigerator mother rises again.
The piece is full of other neurological howlers: “Eighty per cent of brain cells that a person will ever have are manufactured during the first two years after birth” is just baffling, considering we are born with almost all the neurons we will ever have.
The number of synapses – connections between brain cells – does increase after birth but at most by about two thirds. The number peaks between about one and four years, depending on the brain area, and then it rapidly decreases as the brain removes unused connections in a process called synaptic pruning.
The words of neuroscientist Allan Schore seem to have be carefully selected to bolster this scientific misunderstanding, despite the fact his actual quotes do not suggest that he thinks brain cells ‘grow’ after birth.
Furthermore, the idea that “if a baby is not treated properly in the first two years of life, the genes for various aspects of brain function, including intelligence, cannot operate” is seemingly a fuzzily remembered misunderstanding of the role of stress on the epigenetics of neural development.
In fact, it looks like the piece has been written to support a government commissioned report by MP Graham Allen developed from an earlier report by think tank The Centre for Social Justice.
Both present the brain scans, somewhat misleadingly, as a reasonable illustration of emotional neglect, and the first report, scientifically, is a bit ropey. The second though, is surprisingly good.
It actually talks little about the brain, doesn’t feel the need to get into mother-blaming, argues that more support is needed for young children below the age of three from early intervention programmes.
This is a valuable approach and a valid point of view, which The Telegraph article is right behind, but neither brain-shrivelling mothers nor scare tactics are needed.
Link to somewhat confused Telegraph article.
Link to scientific review on brain effects of child abuse.